Ein Artikel über Non Prep Veneers, geschrieben von unserem Spezialisten für Zahnästhetik, der sich in den verschiedenen Veneers-Techniken spezialisiert hat. Manche Patienten suchen eine Alternative gegenüber traditionellen Veneers, da das traditionelle Veneer-Verfahren mehr Präparation der Zähne erfordert. Aber es ist wichtig anzumerken, dass diese Behandlungsoption nicht für jeden geeignet ist. Dieser Artikel richtet sich an Patienten, die eine minimalinvasive, ästhetische Lösung zur Verbesserung ihres Lächelns mit Non-Prep-Veneers anstelle von traditionellen Veneers suchen und umfassende, professionelle Informationen über ihre Möglichkeiten wünschen.
Sie können in diesem Artikel über folgendes lesen:
- Was sind Veneers und was sind die unterschiedlichen Arten davon?
- Was sind Non-Prep-Veneers?
- Wie viel Kosten 4, 6, 10, 12 und 20 Non-prep Veneers?
Was sind Veneers und was sind die unterschiedlichen Arten davon?
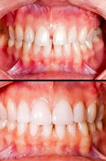
Veneers bestehen aus einer Schale, die auf den Zähnen befestigt werden, die ästhetische und auch Schutzfunktion haben. Damit können kleinere Zahndefekte korrigiert werden, u.a. kleinere Frakturen, Sprünge, Verfärbungen, Unebenheiten, Fehlstellungen, Zahnlücken. Früher war die einzige Lösung für diese Unebenheiten und Fehlstellungen die Zahnästhetik bzw. die Kieferorthopädie. Die Veneers haben revolutionäre Änderungen in die Zahnästhetik mitgebracht: Damit müssen wir für perfekte Zähne keine Kompromisse schließen. Die Schalen sind aus verschiedenen Materialien angefertigt: Porzellan, Komposite und Keramik. Das Material und die Herstellung haben bedeutenden Einfluss auf die Qualität und auf den Preis.
Die einzelnen Veneers unterscheiden sich nicht nur durch das Material, sondern durch die Technik voneinander, womit die Schalen auf den Zähnen befestigt werden. Veneers können direkt vom Zahnarzt oder indirekt in einem Zahntechniklabor angefertigt werden und mithilfe eines Harz-Zahnzements auf den Zahn geklebt werden. Die Schale kann dauerhaft bleiben, aber Veneers können auch wieder entfernt werden. Non-Prep Veneers werden nach Abdruck im Labor angefertigt und per Post an den Zahnarzt verschickt. Veneers können grob in vier Typen: Konventionelle Veneers, Non-Prep-Veneers (Lumineers), E-max Veneers und direkt Veneers. 
Was sind Non-Prep-Veneers?
Non-Prep-Veneers sind hauchdünne Veneers, die in der Regel nur eine minimale Schmelzbearbeitung erfordern. In ausgewählten Fällen ist keine Präparation notwendig, in den meisten klinischen Situationen jedoch eine leichte Schmelzkonturierung, um eine optimale Passform, Ästhetik und Langzeitstabilität zu gewährleisten. Dies macht sie zu einer konservativen und minimalinvasiven Lösung im Vergleich zu herkömmlichen Veneers, bei denen für eine gute Passform und ein natürliches Aussehen normalerweise eine gewisse Umformung oder Verkleinerung der Zahnoberfläche erforderlich ist. Wenn wir von Non-Prep-Veneers sprechen, sprechen wir praktisch von der amerikanischen Marke Lumineers, die an 2 Orten auf der Welt hergestellt werden, in einem amerikanischen und einem europäischen Labor.
Was sind die Vorteile von Non-Prep Veneers?
Minimale Zahnvorbereitung: Genau wie bei porcelain Veneers, sind die minimalinvasiven Veneers oder Non Prep Veneers – wie die Bezeichnungen andeuteten, erfordern sie in der Regel keine Entfernung der Zahnsubstanz – mit der Vorderfläche eines Zahnes verklebt. Schnelles Verfahren : Oft kann die Platzierung von Non Prep Veneers schneller und mit weniger Beschwerden als mit herkömmlichen Veneers durchgeführt werden. Dies bedeutet ein strahlendes, neues Lächeln ohne umfangreiche Präparation der bestehenden Zahnstruktur. Reversibel (in einigen Fällen): Bei Non Prep Veneers ist der Prozess reversibel und nahezu risikofrei. In einigen sorgfältig ausgewählten Fällen können Non-Prep-Veneers reversibel sein. Wurde jedoch eine Schmelzkonturierung durchgeführt, kann eine vollständige Reversibilität nicht garantiert werden. Ultradünnes Material: Unpräparierte Veneers bestehen aus sehr dünnem Porzellan oder Keramik, normalerweise 0,2 bis 0,3 Millimeter dick. Trotz ihrer geringen Dicke sind sie robust und langlebig.
Was sind die Nachteile von Veneers ohne Vorbereitung?
Dicke: Da keine Zahnstruktur entfernt wird, können Lumineers manchmal etwas voluminöser wirken als herkömmliche Veneers, insbesondere bei Zähnen, die bereits leicht hervorstehen. Nicht für alle Fälle geeignet: Sie sind möglicherweise nicht ideal für stark schiefe Zähne oder für Patienten mit erheblichen Zahnschmelzproblemen. Da sie sehr dünn sind, sind sie daher zerbrechlicher als Emax-Veneers oder Porzellan-Veneers. Außerdem können unsachgemäß vorbereitete oder angebrachte Veneers zu Karies führen und der Zahn kann aufgrund des zuvor entfernten Zahnschmelzes empfindlich werden.
Verfärben sich No-Prep-Veneers?
Non-Prep-Veneers sind im Allgemeinen sehr fleckenresistent. Das liegt daran, dass sie aus nicht-porösen Keramikmaterialien hergestellt werden, die keine Pigmente absorbieren wie natürlicher Zahnschmelz. Obwohl die Veneers selbst fleckenresistent sind, können sich an den Rändern, an denen sie auf natürliche Zähne treffen, mit der Zeit manchmal Flecken ansammeln, insbesondere wenn der Patient viele färbende Substanzen wie Kaffee, Rotwein oder Tabak zu sich nimmt.
Gute Mundhygienepraktiken wie regelmäßiges Zähneputzen, Zahnseide und professionelle Reinigung tragen dazu bei, das Aussehen der Veneers zu erhalten und mögliche Verfärbungen an den Rändern zu minimieren.
Für wen sind Non-prep Veneers geeignet?
Es gibt eine signifikante Anzahl von Patienten, die aus verschiedenen Gründen relativ kleine Zähne haben. Asserdem externe Ursachen wie Säureerosion, Erbfaktoren die in natürlich kleineren Zähnen und Abstand zwischen den Zähnen resultieren oder Diskrepanzen zwischen Kiefer- und Zahngröße – nur um einige zu nennen. All die unten genannten Instanzen stellen potenzielle Kandidaten für «ohne Präparation» Restaurationen dar.
Kurze, abgenutzte Zähne – Bei kürzeren, abgenutzten Zähnen kann die Erneuerung des Lächelns einen visuell verjüngenden Effekt haben – dies kann jedoch je nach Zahnzustand von Person zu Person unterschiedliche Ergebnisse bringen.
Schmales Lächeln – Oft sind die Zähne auf beiden Seiten eines Lächelns nach innen positioniert und sind von einer Frontalansicht nicht sichtbar.
Zähne, die mehr sichtbar sein sollen – z.B. wenn vollere Lippen die Zähne verdecken, oder wenn Zähne im Verhältnis zum gesamten Lächeln zu klein sind.
Zähne, die genetisch unförmig sind – «Zapfenförmige Zähne» ist eine relativ häufige Kondition, bei der eine oder beide Zähne unmittelbar neben den beiden oberen Vorderzähnen sehr klein und zapfenförmig sind..

Für wen sind Non-prep Veneers NICHT geeignet?
- Falsche Zahnpositionierung
- Große Diskrepanzen in Wurzelpositionierung
- Schlechte Biss-Verhältnisse
- Wenn irgendeine Form von einer kieferorthopädischen Behandlung erforderlich ist, um die Zähne mechanisch zu bewegen
- Falls eine kieferorthopädische Behandlung nicht möglich ist, kann eine gewisse Menge an Präparation erforderlich sein, um die Illusion einer korrekten Ausrichtung zu erzielen.
- Zähne, die bereits relativ groß oder beim Lächeln vorwärts positioniert sind, erlauben meistens ästhetisch und mechanisch das Hinzufügen von einer weiteren Materialschicht nicht.
- Falls Sie dunkle Zähne haben, sind die Non Prep Veneers zu dünn um die dunkle Grundfarbe des Zahns zu überdecken und falls versucht, wird es unnatürlich undursichtig oder kreidebleich aussehen
- Non-Prep Veneers sind für Zähne nicht geeignet, die natürlich dick, nach außen gewinkelt und zu groß sind
- Diese Technik von Veneers kann zu dicken und unnatürlich aussehende Zähne führen, da eine weitere Materialschicht angeklebt wird
Wie viel Kosten 4, 6, 10, 12 und 20 Non-prep Veneers?
Was kosten Lumineers?
Kosten für 4 Lumineers
Schweiz
4 800 CHF
Ungarn
2 396 CHF
Sie sparen
43%
Kosten für 6 Lumineers
Schweiz
7 200 CHF
Ungarn
3 594 CHF
Sie sparen
43%
Kosten für 10 Lumineers
Schweiz
12 000 CHF
Ungarn
5 990 CHF
Sie sparen
43%
Kosten für 12 Lumineers
Schweiz
14 400 CHF
Ungarn
7 188 CHF
Sie sparen
43%
Kosten für 20 Lumineers
Schweiz
24 000 CHF
Ungarn
11 980 CHF
Sie sparen
43%
Reichen 4, 6, 10 Non-prep Veneers?
Das Anbringen von 4 Non-prep Veneers ist nicht ästhetisch. Selten genügen 6, meist 8 Non-prep Veneers für einen durchschnittlichen Mund pro Zahnreihe, für einen breiteren Mund sind es 10.
Wie viele Non-prep Veneers braucht man für ein volles Lächeln?
Das perfekte Lächeln kann mit 20 Non-prep Veneers (10-10 Unten und Oben) erreicht werden, da diese die Lachlinie vollständig abdecken.
Die Behandlung mit Non-prep Veneers verbessert die Ästhetik nicht, wenn die Zahnfleischkontur sich zurückzieht oder ungleichmäßig ist. In solchen Fällen ist immer zuerst eine Zahnfleischkorrektur notwendig.
Einer der Arbeiten von unserem Team, hier können Sie noch weitere sehen: Veneers Erfahrungen
Erfahren Sie mehr über bester zahnarzt in sopron und wenn Sie wissen möchten, ob Sie für Non Prep Veneers geeignet sind, kontaktieren Sie uns mit einem Bild von Ihrem Lächeln! Hierbei bitten wir Sie uns folgende Aufnahmen zu schicken: mit offenem Mund jeweils ein Bild vom Ober- und Unterkiefer, sowie mit geschlossenem Mund Bilder von den Zähnen von vorne, rechts und links. Über die Veneers Kosten
Unsere Lumineers Auslandspakete
10 Lumineers-Paket*
- Beratung und Erstellung eines Behandlungsplans
- Abschleifen, Formen des Zahnfleischs, Bisskorrektur, Kontrolluntersuchung
- Flughafentransfer am An- und Abreisetag, Unterstützung durch Ihren persönlichen Assistenten, der Ihre Reise organisiert
- Maximal 5 Übernachtungen pro Doppelkiefer und maximal 3 Übernachtungen pro Einzelkiefer
20 Lumineers-Paket*
- Beratung und Erstellung eines Behandlungsplans
- Abschleifen, Formen des Zahnfleischs, Bisskorrektur, Kontrolluntersuchung
- Flughafentransfer am An- und Abreisetag, Unterstützung durch Ihren persönlichen Assistenten, der Ihre Reise organisiert
- Maximal 5 Übernachtungen pro Doppelkiefer und maximal 3 Übernachtungen pro Einzelkiefer
*Der Paketpreis enthält keine versteckten Kosten.
Häufig gestellte Fragen zu Non-Prep-Veneers
Erfordern Non-Prep-Veneers wirklich keinerlei Schmelzabtrag?
In der klinischen Praxis sind vollständig präparationsfreie Fälle selten. In den meisten Behandlungen ist eine minimale Schmelzkorrektur erforderlich, um eine optimale Passung, ein natürliches Emergenzprofil und eine langfristig stabile adhäsive Befestigung zu gewährleisten.
Ist eine Schädigung des Zahnschmelzes bei Non-Prep-Veneers unvermeidlich?
In der Regel wird der Zahnschmelz nur geringfügig angepasst. Bei fachgerechter Durchführung bleibt die Präparation vollständig im Schmelzbereich und beeinträchtigt die Vitalität des Zahnes nicht.
Können Non-Prep-Veneers zu Zahne mpfindlichkeit führen?
Da der Schmelzabtrag üblicherweise minimal ist, ist das Risiko postoperativer Sensibilitäten im Vergleich zu konventionellen Veneers geringer. Dennoch kann – abhängig von Schmelzdicke und Adhäsivtechnik – vorübergehend eine leichte Empfindlichkeit auftreten.
Sind Non-Prep-Veneers tatsächlich reversibel?
Die Reversibilität hängt vom Umfang der vorgenommenen Schmelzmodifikation ab. In rein additiven Fällen kann eine Entfernung möglich sein, in den meisten klinischen Situationen kann eine vollständige Rückversetzung jedoch nicht garantiert werden.
Warum kann eine leichte Zahnpräparation das ästhetische Ergebnis verbessern?
Eine minimale Schmelzkorrektur ermöglicht eine präzisere Randadaptation, verhindert überkonturierte Übergänge und reduziert das Risiko von Plaqueakkumulation im marginalen Bereich.
Führen Non-Prep-Veneers zu einer Zunahme der Zahndicke?
Bei unzureichender Fallselektion oder fehlender Schmelzanpassung kann es zu Überkonturierungen kommen. Eine sorgfältige Behandlungsplanung verhindert ein unnatürlich voluminöses Erscheinungsbild.
Welchen Einfluss hat die Schmelzdicke auf die Behandlungsplanung?
Patienten mit natürlicherweise dünnem Zahnschmelz benötigen eine besonders substanzschonende Vorgehensweise, während bei dickerem Schmelz eine minimale Rekonturierung häufig zu einem harmonischeren ästhetischen Ergebnis führt.
Ist die Fallauswahl bei Non-Prep-Veneers wichtiger als bei konventionellen Veneers?
Ja. Da die Technik überwiegend auf additiver Adhäsivbefestigung basiert, sind ideale Zahnposition, -größe und -farbe entscheidend, um ein natürlich wirkendes Resultat zu erzielen.